放射線科
放射線科
Department of Radiology
放射線科は、画像で病気を見つけ、
体に負担の少ない治療も行う診療科です
体に負担の少ない治療も行う診療科です
診療部長ご挨拶
放射線科は、X線・CT・MRIなどの画像検査を通して、体の内部の状態を詳しく調べる診療科です。
当科では放射線科専門医が最新の装置を用いて精密な診断を行い、病気の早期発見や治療方針の決定に役立てています。また、脳・心臓・腹部・骨関節など、各領域を専門とする医師が在籍しており、幅広い疾患に対応しています。
さらに、放射線科では診断だけでなく、IVR(画像支援治療)と呼ばれる体への負担が少ない治療も行っています。画像で体の内部を確認しながら、細い針や管(カテーテル)を使って行う治療で、大きな切開を必要としないことが特長です。
検査や治療は、放射線技師・看護師・医師が連携し、患者さんの安全と安心を最優先に進めています。
また、当科は近隣医療機関とも連携し、地域医療を支える画像診断の役割も担っています。
私たち放射線科は、正確な診断と身体に優しい治療を通して、患者さんに最適な医療を提供してまいります。
検査や治療について不安なことやご不明点がありましたら、どうぞお気軽にお声がけください。
当科では放射線科専門医が最新の装置を用いて精密な診断を行い、病気の早期発見や治療方針の決定に役立てています。また、脳・心臓・腹部・骨関節など、各領域を専門とする医師が在籍しており、幅広い疾患に対応しています。
さらに、放射線科では診断だけでなく、IVR(画像支援治療)と呼ばれる体への負担が少ない治療も行っています。画像で体の内部を確認しながら、細い針や管(カテーテル)を使って行う治療で、大きな切開を必要としないことが特長です。
検査や治療は、放射線技師・看護師・医師が連携し、患者さんの安全と安心を最優先に進めています。
また、当科は近隣医療機関とも連携し、地域医療を支える画像診断の役割も担っています。
私たち放射線科は、正確な診断と身体に優しい治療を通して、患者さんに最適な医療を提供してまいります。
検査や治療について不安なことやご不明点がありましたら、どうぞお気軽にお声がけください。

井上 快児 INOUE, Kaiji
診療内容・専門分野
診療内容・専門分野
放射線科では、病気の早期発見、正確な画像診断をCT及びMRIを中心に行っています。内科、外科、整形外科、産婦人科をはじめ全ての科からの依頼に答えて、CT、MRIの新しい医療機器を駆使した精密な画像診断検査を行っています。これらの機器には、放射線科診断専門医が診療放射線技師とともに携わっています。埼玉医科大学放射線科には8名の常勤放射線科診断専門医がおり、患者さんの負担が最も少なく効率的な画像診断が行われるように検査の適用を吟味し、正確な画像診断を行うようにしています。得られた画像から多くの情報を引き出し、総合的な病気の診断を行うのも放射線科診断専門医の仕事です。また、IVRも行っており、血管造影で血管内にカテーテルという細い管を入れることで、腫瘍の塞栓術、動脈瘤処置など、患者さんへの侵襲の少ない治療も行っています。IVRの症例によっては、埼玉医科大学国際医療センター画像診断科と連携して治療を行います。放射線科には、産婦人科領域、骨軟部領域、上腹部領域、泌尿器領域、頭頸部領域、脳神経領域、骨髄領域、IVRを専門としている放射線科診断専門医がおり、正確な画像診断とIVR治療を行っています
新しいCTで利用できる人工知能の補助診断装置も導入されていますので、診断を行う際には専門医の診断を補助するための装置として導入されています。
主な疾患
- 頭部領域:脳出血、脳梗塞、脳腫瘍、多発性硬化症、水頭症、多発性硬化症、脳炎 など
- 頭頸部領域:バセドー病、甲状腺腫瘍、耳下腺腫瘍、耳下腺炎、扁桃膿瘍 など
- 胸部領域:感染性肺炎、間質性肺炎、肺腫瘍、食道腫瘍 など
- 上腹部領域:肝硬変、肝腫瘍、胆石、膵炎、胆嚢腫瘍、膵腫瘍、脾腫瘍、副腎腫瘍 など
- 泌尿器領域:腎結石、尿管結石、膀胱結石、尿道結石、原発性アルドステロン症、褐色細胞腫、腎腫瘍、腎盂および尿管腫瘍、膀胱腫瘍、尿道腫瘍、前立腺腫瘍、精巣腫瘍、陰茎腫瘍、後腹膜腫瘍、尿膜管腫瘍など
- 産婦人科疾患:子宮筋腫、子宮線筋症、骨盤臓器脱、子宮体癌、子宮頸癌、卵巣子宮内膜症、骨盤内内膜症、癒着胎盤、卵巣腫瘍など
- 整形領域:骨折、ヘルニア、靭帯損傷、半月板損傷、脊髄腫瘍、骨腫瘍、外傷 など
- 血液疾患領域:悪性リンパ腫、多発性骨髄腫、再生不良性貧血など
検査および装置
CT検査
MRI検査
血管造影検査
病気の診断方法
子宮筋腫
症状
不正出血
肝細胞癌
症状
腹部圧迫感
間質性肺炎
症状
咳、息切れ
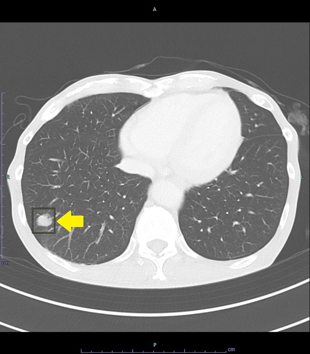
直腸癌の肺転移
症状
特になし
冠動脈狭窄
症状
胸痛・胸部圧迫感
脳脊髄液漏出症
症状
頭痛、めまい、首の痛みなど
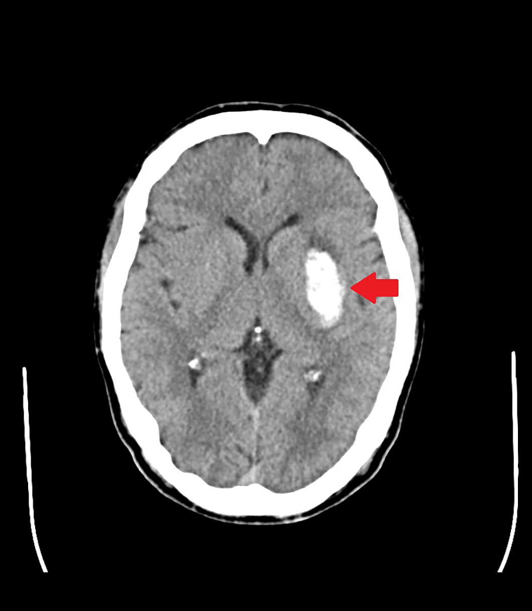
脳出血
症状
頭痛や麻痺




















